六年来他们只做一件事:让爱无缺

每33秒出生一个缺陷儿

根据2012年卫生部《中国出生缺陷防治报告(2012)》白皮书指出,我国是出生缺陷高发国家之一,新生儿出生缺陷发生率约为5.6%,每年新增出生缺陷患儿约90万例,目前已知的人类出生缺陷疾病达8000—10000种。预防出生缺陷是全球重大医学课题,亦是民生健康刚需。


出生缺陷,会给家庭带来沉重的精神和经济负担,严重影响家庭的幸福和生活质量。


“经济负担倒是次要的,最主要是人的精神压力。你想一想,家里有个生病的孩子,可能需要陪他到处去看病治疗,一辈子离不开人照顾,对整个家庭会造成多么大的负担。” 湖北省妇幼医学影像科杨文忠主任解释出生缺陷家庭所背负的重担。

「特殊的会诊」

自2016年来,每周三下午,杨主任都要去赴一场“特殊的会诊”,各科专家相聚于此,他们凭借多年丰富的诊断经验和极高的研判能力,针对疑难胎儿问题进行最严格的会诊。


 

这是由湖北省妇幼保健院牵头成立的湖北省产前诊断中心。此中心被誉为湖北省胎儿的“高等法院”,而磁共振诊断则是“庭审”过程中一个非常核心关键证据,在超声拿捏不准、摸棱两可的情况下,磁共振起到了“一锤定音”的作用。

「一锤定音」的「关键证据」

产前医学影像包括产前超声和胎儿磁共振。磁共振应用于产前诊断,比超声晚了近30年,但磁共振具有大范围成像、软组织分辨率高、无辐射、非侵入性等优势,既能确认超声检查结果,又能提供比超声更多的信息,更能准确地诊断一些超声难以明确的胎儿畸形,也是出生缺陷防控的重要手段。

 

其中,对于少见的受胎位异常影响或超声显示困难的孕妈妈,胎儿磁共振往往是确立诊断的最佳选择之一,特别是在诊断中枢神经系统畸形中的价值越来越受到认可,如神经元移行障碍性疾病,提供给临床更有价值的信息。又比如胎儿脊髓脊椎先天畸形,胎儿磁共振检查可作为一种重要补充手段,进一步证实超声诊断结果。

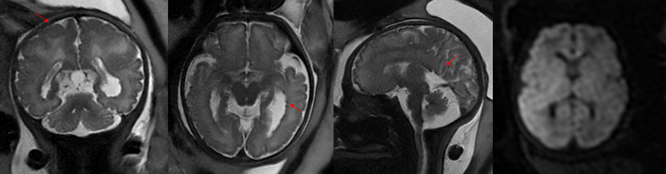
临床资料:孕36.1周;超声提示胎儿第三脑室后方囊性结构(蛛网膜囊肿待排)

影像诊断:双侧脑室边缘多发小结节影伴双侧额叶皮层增厚,脑回宽大,多考虑神经元移行障碍性疾病

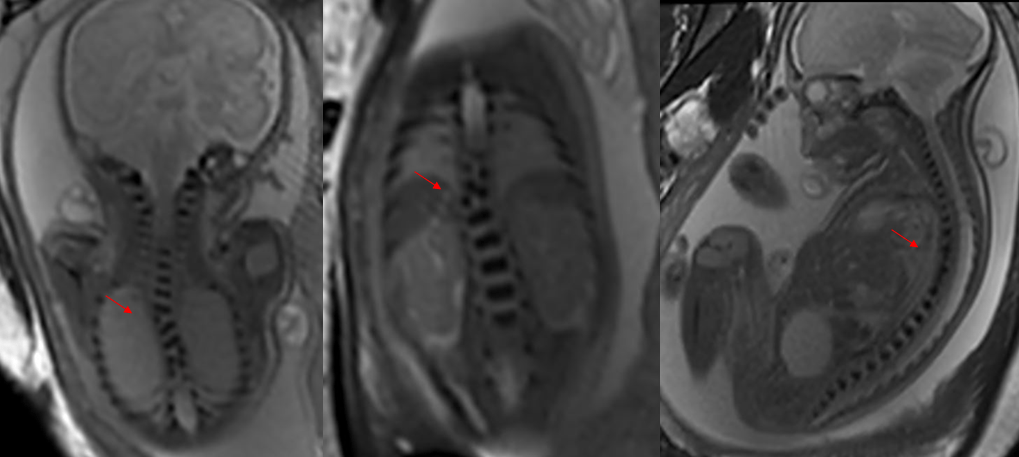
临床资料:孕28.5周;超声提示胎儿脊柱椎体回声异常

影像诊断:胎儿胸椎多个椎休发育不良伴脊柱侧弯

病例来源:湖北省妇幼保健院街道口院区与光谷院区

 

围绕这一重大医学课题,联影医疗与湖北省妇幼保健院多科室创新联动,推进出生缺陷精准防治,创新胎儿早筛技术、普及早筛新模式、探索胎儿发育与异常研究,共同推动孕育全生命周期的医学创新探索与临床应用。

杨文忠
湖北省妇幼保健院 医学影像科主任
“二十年胎儿磁共振临床科研工作中,我看见了人间百态,深刻认识到我们的责任和义务是义不容辞的。在出生缺陷防治工作中,胎儿磁共振检查正在发挥越来越大的作用,造福更多的患者,造福社会。”
王玉红
湖北省妇幼保健院 儿童保健科副主任
“出生缺陷危害很大,会让一个家庭处于崩溃的边缘,从国家层面来说,更会影响整体人口素质。抓好三级预防,做好防筛管治四个层面任务,有效降低出生缺陷发生率,逐步提高出生人口素质和儿童健康水平。”
邓伶俐
湖北省妇幼保健院 医学影像科主管技师
“很多孕妈妈对核磁共振的「核」比较敏感,事实上磁共振检查是一个纯物理、无创、无辐射的过程,不用担心对胎儿有辐射。”